- マイナカード(資格確認証)をご持参ください。 [2025年12月2日11時10分更新]
ご要望にお応えしてホワイトニングが導入されました!
新年明けましておめでとうございます!小畑歯科医院、歯科衛生士の弓場です。
お正月はゆっくり過ごせましたか?お休みをいただいてリフレッシュできました。また今年も1年スタッフ一同、全力で頑張ります!?
さて、当院には毎日さまざまな口元の悩みを持った患者さまがいらっしゃいます。歯が痛い、しみる、欠けた、などなど…。ひととおり治療が終わると定期的なメンテナンスが始まりますが、健康維持の次に多くの方が気になってくるのが「歯の白さ」です。これまで私の担当患者さまからも「ホワイトニングやってないの?」とご質問いただくことが多々あり、そのたび「うちはやってないんです。すみません」とお断りして残念な気持ちになっていました。
しかし!そんな患者さまからのご要望にお応えして、ついに当院でもホワイトニングが導入されることになりました!
ホワイトニングを導入するにあたり、歯科衛生士2名がホワイトニングセラピストのディプロマを取得しました!8ヶ月間に及ぶ専門セミナーでは、安全で効果的な施術を行うための薬剤の知識や、患者さまの応対、技術の訓練を学んだそうです。セミナー修了後の2人は自信に満ち溢れていてとても頼もしいです。
早速、私も実際に体験させてもらいました!高級感のあるメニュー表を使って丁寧に説明してもらったあと、いい香りのリップクリームを塗ってもらうとまるでエステに来たような気分です。その後ホワイトニングの薬剤を歯にのせたら、ほんのり温かい光を歯に当てるのですが、心地よくて私はそのまま夢の中へ…
通常一度の施術に薬剤を2回のせるのですが、私は今回お試しで1回だけ。それでも明らかに歯のツヤや透明感が上がったのが見てとれました!ホワイトニングで歯がしみるという話も聞いたことがあったのですが私は全然しみませんでしたよ。
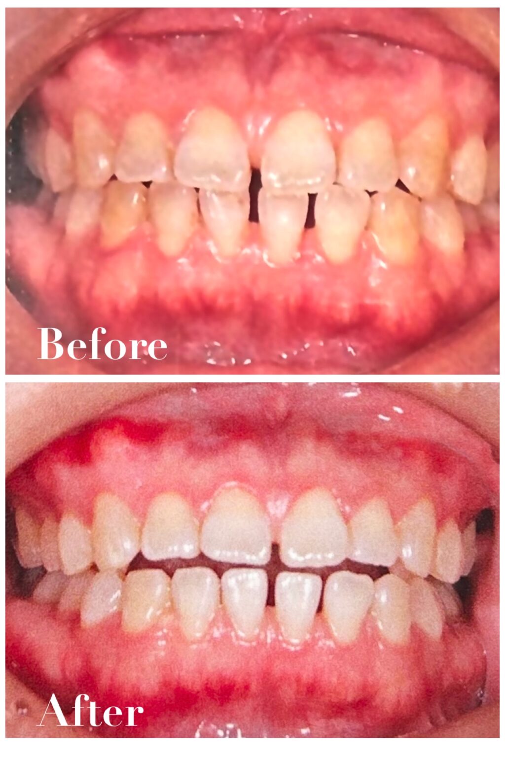
他スタッフや患者さまも続々と始めています。下の写真は患者さまの一例です。オフィスホワイトニング2回だけの施術ですが、すでに黄色みが抑えられて白さが見て取れますね!
小畑歯科でのホワイトニングは2種類あります。1つは院内で行うオフィスホワイトニング。短時間で白さを実感できる効果が発揮されます。もう1つはマウスピースを使って、ご自宅で行うホームホワイトニング。効果を感じるまでに時間と回数がかかりますが、イヤな味やにおいなどの不快感はほとんどなく、白さも長もちします。2つを併用するのがおすすめみたいですよ~!
白さのご希望に合わせて回数や期間などを選べるコースが各種あります。ご予約をとっていただいた方のカウンセリングや料金のご説明は、専門のホワイトニングセラピストが行いますのでご安心ください。自信を持った笑顔を手に入れられるよう、全力でサポートしてくれます?
まずはお気軽に、お近くのスタッフにご相談くださいね。
♬――――――――――――――――――――♬
健康をサポートする和歌山市の歯医者さん・ウェルネス小畑歯科医院の日常や、歯科に関する情報を発信しています。
【一般歯科・歯周病治療・つまようじ法・障害者歯科・小児矯正】
ご予約はHPのウェブ予約ページ、またはお電話にて。
